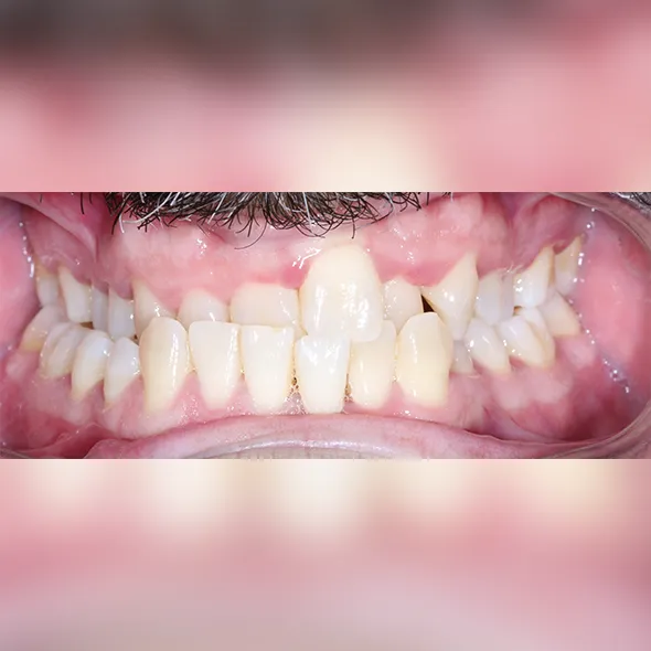
¿Crees que eres muy mayor para llevar ortodoncia o que tu mordida no tiene arreglo? ¿No sabes cuál es el momento ideal para llevar a tu hijo al ortodoncista? Consúltanos, siempre hay una solución y muchas veces un tratamiento temprano evita problemas severos en la edad adulta.

La ortodoncia es la especialidad de la odontología encargada de la prevención, estudio, diagnóstico y tratamiento de las malposiciones dentarias y deformidades maxilares con el objetivo de devolver la función masticatoria y estética facial al paciente.
Se recomienda que la primera visita al ortodoncista se realice entorno a los 4 años de edad.
En ella, valoraremos el desarrollo de los maxilares, controlaremos el recambio dentario pudiendo interceptar a tiempo anomalías dentales o alteraciones del desarrollo de los maxilares que son difíciles de reconocer por los padres puesto que no existen signos claros, y recomendar el inicio del tratamiento en el mejor momento para cada niño.

Se recomienda comenzar alrededor de los 12 años de edad, una vez ha finalizado el recambio dentario y en el caso de que los maxilares se estén desarrollando correctamente, para comenzar a centrarnos en la alineación de los dientes.
Ventajas:
- Facilita el acceso a la higiene.
- Evita el riesgo de caries y problemas periodontales.
- Reducimos el desgaste y sobrecarga oclusal derivados de la malposición de los dientes.
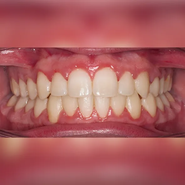
- Mejora la sonrisa por lo que aumenta la confianza y autoestima del paciente.
Gracias a la evolución de la ortodoncia en los últimos años, a la reducción en los tiempos de tratamiento y a la aparición de aparatos de ortodoncia altamente estéticos, cada vez son más
los adultos que se animan a colocarse los dientes, ya sea por estética o por algún problema funcional, como la falta de espacio para la colocación de un implante.
Tratamiento que consiste en el uso de alineadores transparentes y removibles a medida para cada paciente, lo que hace que sea el aparato de ortodoncia más cómodo, ya que facilita el acceso a la higiene, permite comer lo que quieras y evita rozaduras y urgencias. Es el presente de la ortodoncia.
Con nuestro scáner Itero Element 2 Plus, tomaremos unos modelos digitales de tus dientes (sustituyendo las clásicas e incómodas impresiones dentales). Gracias a las nuevas tecnologías, y a la experiencia de nuestra doctora, tu tratamiento es planificado en una plataforma digital denominada Clincheck, que nos permitirá enseñarte el antes y después de tu tratamiento incluso antes de empezar.
Cada alineador debe usarse unas 20-22 horas para que el tratamiento sea efectivo, las férulas se cambian cada 7-14 días, cada férula lleva pequeños cambios que facilitan el movimiento gradual de los dientes hasta alcanzar la posición deseada. El tiempo de tratamiento dependerá de la complejidad de cada caso y será determinado por nuestra ortodoncista la Dra. Rocío Morón Duelo.
Ventajas de Invisalign:
- Cómodo ya que está hecho a medida.
- Removible. Permite comer lo que quieras.
- Higiene. Permite mejor acceso a la higiene.
- NO Urgencias. Al no llevar alambres.
- Predecible. Tratamiento rápido y eficaz.



La ortodoncia de toda la vida. Los Brackets son aparatos adheridos al diente que gracias a una serie de arcos y la pericia del ortodoncista van alineando los dientes. Estos arcos se sujetan a los Brackets con ligaduras elásticas de colores que eligen los pacientes, ¡a los más pequeños les encanta participar en su tratamiento y elegir sus gomitas todos los meses!
Existen los Brackets metálicos cuya resistencia y coste en comparación con otros aparatos hace que sea el tratamiento de elección de muchos pacientes.
Los Brackets estéticos fabricados en materiales como la cerámica que hace que se mimetice más con el color del diente, tiene las ventajas de un aparato fijo, siendo un aparato estético.
Los Brackets de baja fricción, gracias a los nuevos alambres superelásticos y a la ranura de mayor tamaño que presentan este tipo de Brackets, se consiguen fuerzas ligeras y continuas haciendo que los arcos deslicen mejor, acortando los tiempos de tratamiento.



